内科医師 吉田 賢一 
皆さんこんにちは。
気候も暖かくなり暑いと感じるくらいの日もみられる季節になってきました。
花粉症をお持ちの方も大分落ち着いてきたのではないかと思います。
今月のコラムは内科医師の吉田が担当いたします。
近年、医療にもAI(人工知能)による自動診断あるいは診断補助が使われるようになってきています。
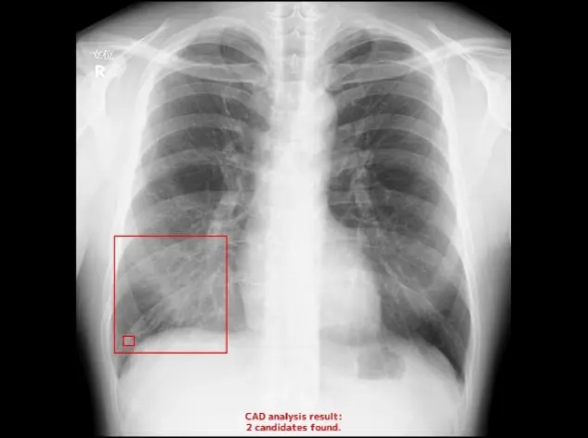
当院でも昨年11月から胸部のレントゲン診断においてAIによる読影支援(画像解析ソフト)を導入いたしました。
人工知能による画像診断とは深層学習によるアルゴリズム(計算手順)を用いて臓器の画像診断を行うものです。
レントゲンやCT検査のような画像診断においては、少なからず見落としが発生してしまいます。
大きな病院では、画像診断における異常の
有無を判断する専門の医師(多くは放射線科医師)が在籍しますが、中小病院やクリニックには専門の医師はおらず、
検査を依頼した医師が画像の診断をしていることがほとんどです。 そのため、専門領域でない画像の診断においてはどうしても見落としの懸念がつきまといます。
当院が導入した読影支援AIは、医師10名による読影と比較し10%を上回る感度(病気を検出する力)が報告されています。
このようなAIによる読影支援はレントゲンのみならず、CT、MRI検査、内視鏡検査などにも利用されるようになってきており、徐々に診断精度も上がっていくものと思われます。
浜松市の肺がん検診においては現在でも二次読影方式で診断しており、検査を行った施設の医師による読影に加えて、肺の専門医による二重の読影(ダブルチェック)も行うことで
見落としのリスクの低下に努めています。
4月になり、浜松市からがん検診のはがきが送られてきていると思いますが、受検されていない方は検討してみてはいかがでしょうか?

このように異常が検出されると四角のボックスで囲まれます
- POSTED at 2024年06月12日 (水)







